Problemas comunes de ortodoncia y cómo los tratamos

Es raro tener dientes perfectamente alineados, y muchas personas experimentan problemas de ortodoncia que afectan la masticación, la higiene bucal, el habla y la estética de la sonrisa. Una maloclusión, o «mordida incorrecta», puede ser heredada o resultar de factores como:

  • Succión del pulgar

  • Enfermedades dentales

  • Mala higiene bucal

  • Accidentes o lesiones

  • Defectos de nacimiento

  • Otras afecciones médicas

Comprender el tipo de problema de ortodoncia es el primer paso hacia un tratamiento eficaz. Con la atención del Dr. Terrence Campbell, puede mejorar tanto la función de su mordida como la apariencia de su sonrisa.

A continuación, se muestran algunos ejemplos de los problemas de ortodoncia más comunes.
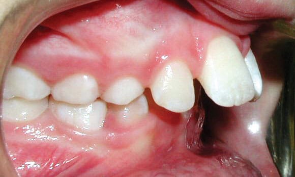
Ortodoncia de protrusión Gather en Holly Springs, NC

Protrusión de los dientes frontales superiores

La apariencia y la función de sus dientes se ven afectadas por este tipo de mordida. Se caracteriza porque los dientes superiores se extienden demasiado hacia adelante o los dientes inferiores no se extienden lo suficiente hacia adelante.

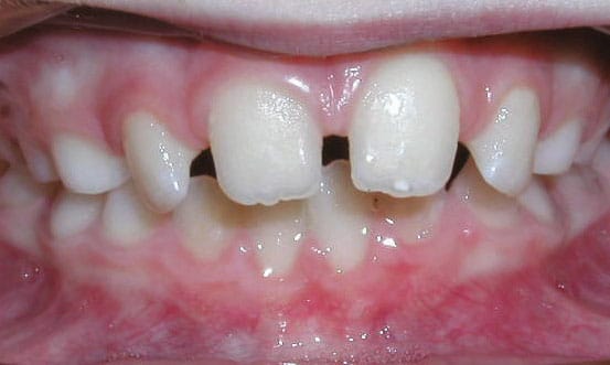
Sobremordida Ortodoncia Gather en Holly Springs, NC

Sobremordida

Los dientes frontales superiores se extienden y cubren los dientes frontales inferiores, lo que a veces hace que los dientes frontales inferiores muerdan el paladar.

Mordida cruzada Ortodoncia Gather en Holly Springs, NC

Mordida cruzada

Una mordida cruzada ocurre cuando los dientes superiores se asientan dentro de los dientes inferiores, lo que lleva a un desgaste desigual y un crecimiento desalineado de la mandíbula. Corregir una mordida cruzada puede guiar el desarrollo adecuado de la mandíbula, proteger la salud dental y restaurar el equilibrio de la mordida.

Mordida abierta Ortodoncia Gather en Holly Springs, NC

Mordida abierta

Una mordida abierta es cuando los dientes frontales superiores e inferiores no se juntan al morder, lo que dificulta la masticación y el habla. Tratar una mordida abierta puede mejorar la capacidad de masticación, reducir los hábitos de empuje de la lengua y mejorar la claridad del habla.

Apiñamiento Ortodoncia Gather en Holly Springs, NC

Apiñamiento

El apiñamiento ocurre cuando no hay suficiente espacio para que los dientes erupcionen correctamente, lo que provoca superposición o desalineación. Corregir el apiñamiento puede crear el espacio adecuado, apoyar una alineación saludable y facilitar la atención futura.

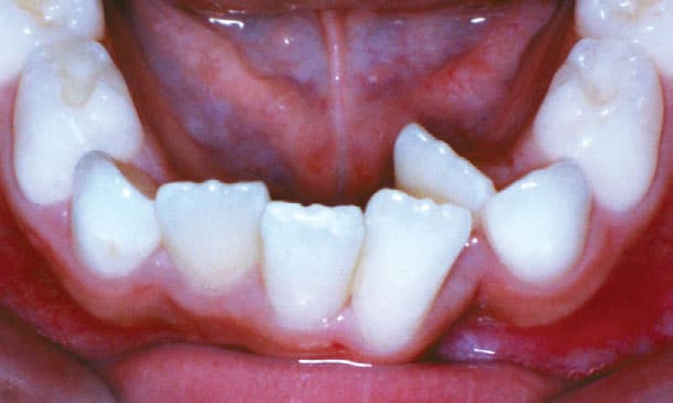
Espaciamiento Ortodoncia Gather en Holly Springs, NC

Espaciamiento

El espaciamiento ocurre cuando se forman espacios entre los dientes debido a la falta de dientes o preocupaciones estéticas. Cerrar espacios puede mejorar la función de la mordida, mejorar la apariencia de la sonrisa y apoyar la salud bucal a largo plazo.

Submordida Ortodoncia Gather en Holly Springs, NC

Submordida

Una submordida ocurre cuando la mandíbula inferior se extiende demasiado hacia adelante, colocando los dientes inferiores delante de los dientes superiores. Tratar una submordida puede mejorar la capacidad de masticación, crear un perfil equilibrado y mejorar la salud dental en general.